Sign In
Join/Renew
ACEP ID:
My Account
My CME
Sign Out
✕
Topics
TOPICS
Clinical Alerts
Corporatization
Scope of Practice
Workforce
Unionization
Reproductive Health
Violence in the ED
Opioids
Insurer Bad Practices
QUICK ACCESS
Find a Physician Group
Find a Residency
Find a Job
CURRENT NEWS
ACEP Now
Annals of Emergency Medicine
JACEP Open
News Releases
Practice
ADMINISTRATION
Reimbursement
Crowding & Boarding
Accreditation Programs
Health Information Technology
Quality
EM Data Institute
PATIENT CARE
Clinical Policies
Point-of-Care Tools
Policy Statements
PREPs
Sponsored Content
Ultrasound
Social EM
LIFE AS A PHYSICIAN
Careers
Well-Being
Medical & Legal Resources
Contracts
Practice Essentials
ACEP Insurance
CAREER PATH
EMS
Medical Director
Small Group
Research
Rural
Education
CME
Free CME for Members
Continuing Medical Education
Maintenance of Certification
CME Tracker
Apply for CME
MEETINGS
Annual Meeting
Event & Course Proposals
Other Meetings
Event Calendar
DIGITAL EDUCATION
ACEP Anytime
Online Learning Center
Critical Decisions (CDEM)
PEER
AEMUS Board Review Course
Webinars
MicroED
OTHER EDUCATION
Bookstore
Journals & Pubs
Podcasts
Apps
Advocacy
FEDERAL ADVOCACY
Federal Overview
Surprise Billing
Workforce
Clinician Well-Being
Mental Health
Medicare & Medicaid
Reimbursement
Workplace Violence
Liability Reform
STATE ADVOCACY
State Overview
Liability Reform
Out of Network Billing
Effective Tools
State Public Policy Grant Program
Psychiatric Holds
Medicaid
Case Studies
GET INVOLVED
Advocacy Action Center
911 Grassroots Network
NEMPAC
Leadership & Advocacy Conference (LAC)
GROUPS TO JOIN
911 Grassroots Network
About ACEP
WHO WE ARE
Our Values
Strategic Plan
About Us
ACEP Awards
News Releases
HOW WE SERVE
Leadership
Sections
Interest Groups
Committees
Council
Chapters
MEMBERSHIP
Renew Your Membership
Explore Membership
ACEP in Action
Member Benefits
Eligibility & Dues
engagED Communities
Imaging
ARIA Part 3 of 4 - Thrombolytics and ARIA
Faculty: Christina Shenvi, MD, PhD, MBA, FACEP
ARIA Part 2 of 4 - Bleeding and ARIA
ARIA Part 1 of 4 - Overview
Ultrasound Guided Advanced Cardiovascular Life Support
Musculoskeletal Ultrasound – Overview
Point-of-Care Ultrasound in Resource-Limited Settings
Small Parts - Testicular Ultrasound
Focused Assessment with Sonography for HIV-Associated Tuberculosis (FASH)
Introduction to Nerve Blocks
Saphenous Nerve Block
Median Nerve Block
Ulnar Nerve Block
Supraclavicular Brachial Plexus Block
Sural Nerve Block
Tibial Nerve Block
Popliteal Sciatic Nerve Block
Radial Nerve Block
Femoral Nerve Block
Deep Peroneal Nerve Block
Superficial Peroneal Nerve Block
Interscalene Nerve Block
Pericardiocentesis
Paracentesis
Thoracentesis
Arthrocentesis
E-FAST (Extended Focused Assessment with Sonography in Trauma)
Lumbar Puncture
Lung
Procedures
Advanced
Basic
Nerve Blocks
Caution About Patient Masks and MRI Use
Renal
Airway Emergencies
Foreign Body Localization
Abscess Evaluation
Vascular Access
Cardiac
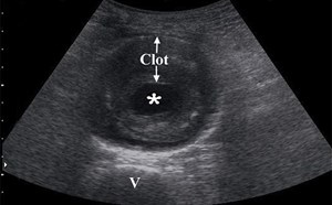
Deep Vein Thrombosis (DVT)
Soft Tissue Ultrasound
Early Pregnancy
Abdominal Aortic Aneurysm (AAA)
Physics and Technical Facts for the Beginner
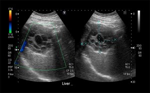
Gallbladder
Sonoguide: Ultrasound Guide for Emergency Physicians
Ultrasound
Chest X-ray and CT
Ultrasound Cleaning
Imaging
Section Content
Ultrasound
Ultrasound Tracker
Ideal Ultrasound Machine Features for the Emergency Medicine and Critical Care Environment-2008
How to Set Up an Ultrasound Presence in your ED
Credentialing and Privileging in Emergency Ultrasound
© 2026 American College of Emergency Physicians.
Terms of Use
Privacy Policy
[
Feedback →
]