Small Parts - Testicular Ultrasound
Josie G. Acuña, MD
Srikar R. Adhikari, MD, MS, FACEP
I. Introduction and Indications
- Differential diagnosis of acute scrotal pain includes epididymitis, orchitis, testicular torsion, torsion of the testicular appendage, testicular trauma, and herniation of abdominal contents into the scrotum.
- Distinction between the underlying pathology is critical as prompt intervention is required in cases of testicular torsion, trauma, and incarcerated hernias. Misdiagnosing testicular torsion can lead to organ loss and infertility.
- Ultrasound has become the imaging modality of choice for evaluating patients with scrotal symptoms.
- Indications include: Testicular pain, testicular swelling/mass, trauma.
II. Anatomy
- The scrotum is a saccular structure divided into two compartments by the median raphe. Each compartment contains a testicle, epididymis, vas deferens, and spermatic cord.
- The testes are surrounded by a fibrous capsule, called the tunica albuginea, which is covered by the tunica vaginalis. The tunica vaginalis has two layers, an outer parietal layer and an inner visceral layer which are separated by a small amount of fluid.
- The normal adult testis is ovoid in shape and measures approximately 2 to 3 cm in width and 3 to 5 cm in length.
- Structurally, the testes are divided into lobules by septa radiating from the tunica albuginea. Within the testicular parenchyma, seminiferous tubules converge at the mediastinum testis, an incomplete septum formed through invagination of the tunica albuginea. It is located in the posterior aspect of the testis.
- The epididymis is found along the posterolateral aspect of each testis and consists of a head, body and tail. The head of the epididymis is located adjacent to the superior pole of the testis, the body runs posteriorly, with the tail at the inferior pole. The tail of the epididymis becomes the vas deferens as it ascends superiorly out of the scrotum.
- The spermatic cord suspends the testis in the scrotum and consists of arteries, veins, nerves, lymphatics, and the vas deferens.
- The appendix testis and the appendix epididymis are both embryological remnants that are found toward the superior pole of the testis.
- Blood supply to the testis primarily originates from the testicular artery, which arises from the aorta. Other sources of blood supply include the deferential artery, which supplies the epididymis and the vas deferens and the cremasteric artery supplies the peri-testicular tissues. Venous outflow from the scrotum is via the pampiniform plexus, which empties into the testicular veins. 1-4

Illustration 1. Overview of testicular anatomy (https://commons.wikimedia.org/wiki/File:Figure_28_01_03.JPG#/media/File:Figure_28_01_03.JPG)
III. Scanning Technique and Normal Findings and Common Variants
- Patient is placed in a supine position with the legs slightly spread apart.
- The scrotum is placed in a sling designed from towels to improve exposure and provide support. (Figure 1)

Figure 1. A properly exposed and draped patient with the scrotum supported in a sling of towels (Image courtesy of Michael Blaivas, MD)
- A high frequency broadband linear transducer (7.5-10 MHz) that can perform both power and spectral Doppler ultrasonography is used.
- The scrotum and its contents are scanned in at least two planes, along the longitudinal and transverse axis. The unaffected hemiscrotum should be scanned initially to provide a comparison of anatomy and blood flow.
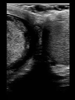
- A coronal scan showing both testicles side by side should be performed to identify differences in size and echogenicity, and vascularity. (Figure 2)

Figure 2. Also known as the ‘buddy’ or ‘spectacle’ view, a coronal scan showing both testicles side by side allows for comparison in size, relative echogenicity and blood flow.
- The visceral and parietal layers of the tunica are visualized as one echogenic stripe.
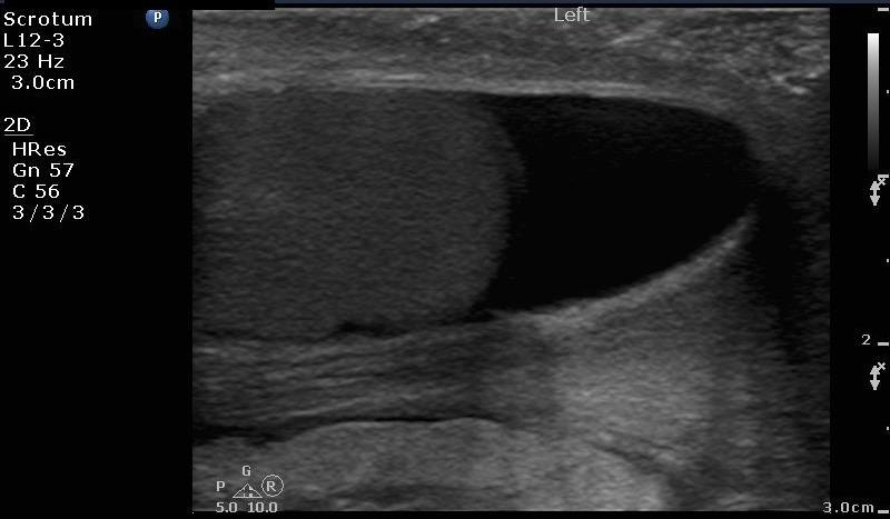
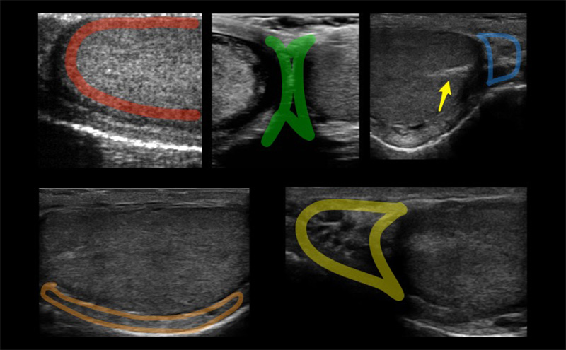
- The normal testis has midgray or medium-level echoes and is homogeneous in appearance. (Figure 3)
Figure 3. Red: Image of the normal testicle with homogenous echotexture. Green: Median raphe. Blue: Tail of the epididymis. Orange: Body of the epididymis. Yellow: Head of the epididymis. Arrow: Mediastinum testis seen as a linear echogenic band
- The epididymis has similar or slightly increased echogenicity as compared to the normal testis.
- The mediastinum testis is seen as a linear echogenic band running parallel to the epididymis, best seen on sagittal view.
- The appendix testis and appendix epididymis are small ovoid hyperechoic protuberances found at the superior pole of the testis, normally hidden by the epididymal head. Unless outlined by fluid from a hydrocele, they are difficult to find on ultrasound.
- The spermatic cord appears as multiple hypoechoic linear structures in the longitudinal plane and circular hypoechoic structures in the transverse plane.1-4
- Power Doppler examination is performed after gray-scale imaging is complete. The unaffected side is scanned initially to obtain accurate Doppler settings. To adequately evaluate blood flow, Doppler parameters should be adjusted to their most sensitive settings without introducing significant artifact.
- Power Doppler and pulsed Doppler should be optimized to display low-flow velocities to demonstrate blood flow in the testes and adjacent structures. The wall filter, scale and gain may need to be adjusted to pick up maximal blood flow without significant artifact. The wall filter should be set at the lowest selection possible and the PRF (Pulse Repetition Frequency) is minimized as well. The color gain should be adjusted carefully, as the artifactual appearance of flow may be created in a torsed testicle.
- Intratesticular and epididymal flow should be confirmed using both power Doppler and spectral Doppler waveform analysis.
- Power Doppler helps to detect blood flow within the testicle and spectral Doppler allows identification of the flow whether it is venous or arterial.
- Spectral Doppler waveforms should be obtained in several areas of blood flow detected by power Doppler to document both arterial and venous flow patterns. Typically, power and spectral Doppler scan can be performed on the same ultrasound window.
Normal Variants
- In 50 % of men the transmediastinal artery, a large branch of the testicular artery, courses through the mediastinum testis to supply the capsular arteries and is usually accompanied by a large vein.
- The rete testis is a normal structure seen in approximately 20% of patients. It appears hypoechoic with a striated appearance. Can be seen adjacent to mediastinum testis.
IV. Pathology

Illustration 2. Schematic overview of testicular pathology.
Hydrocele
- Most common cause of scrotal swelling.
- Normal scrotum contains small amounts of serous fluid between the layers of the tunica vaginalis. Abnormal collection of fluid in the space between the visceral and parietal layers of the tunica vaginalis results in a hydrocele.
- Fluid collections are usually confined to the anterolateral portions of the scrotum because of the posterior location of attachments of the tunica to the testis and scrotum.
- Can be seen as an isolated finding or in conjunction with acute or chronic pathology. Many of these fluid collections are congenital. Acquired hydroceles are associated with infection, tumors, trauma, torsion and radiation therapy.
- Sonographically, a simple hydrocele is seen as an anechoic dark fluid collection surrounding the testicle. (Figure 4)

Figure 4. Image of the left testicle with hydrocele
- Hematoceles and pyoceles are complex hydroceles. A complex hydrocele may contain internal echoes with septations and loculations. (Video 1 and 2) A chronic hydrocele may also demonstrate internal echoes from cholesterol crystal formation.1,3,5,6
Video 1 and 2. Video of the left teste with an associated scrotal pyocele. Note the septations.
Varicocele
- A collection of tortuous and dilated veins within the pampiniform plexus of the spermatic cord due to incompetent valves in the testicular vein.
- They are found in approximately 15 % of adult males and can result in infertility secondary to decreased sperm motility and count.
- The vast majority of varicoceles are located on the left side and only 1 % are bilateral. The left sided predominance of varicoceles is thought to be due to the long course and angle of entry of the left testicular vein as it empties into the left renal vein. The right testicular vein is shorter and empties directly into the inferior vena cava.
- Much more apparent when the patient performs a Valsalva maneuver or is standing.
- Sonographically, they appear as multiple anechoic serpiginous tubular or curvilinear structures of varying sizes (larger than 2 mm in diameter) in the region of the epididymis. (Videos 3 and 4)
- Power Doppler should be used to confirm flow in the varicocele.2-4
Video 3. Video of the testicle with an enlarged pampiniform plexus
Video 4. Demonstration of flow within the varicocele
Testicular Torsion
- Urologic emergency requiring prompt diagnosis and early treatment as time is critical for testicular salvage.
- More common in children but can occur in post-pubertal males.
- The majority of testicular torsions result from anatomic defects that lead to redundant spermatic cord and anomalous suspension of the testes in the scrotum. An undescended testicle also increases the likelihood of torsion.
- A redundant spermatic cord is mobile and during torsion it begins to twist upon itself. As the twisting progresses, venous flow is interrupted initially due to easily collapsible vessel walls and the low intravascular pressure. Venous obstruction is followed by a decrease in arterial inflow, which eventually progresses to complete obstruction.
- The salvage rates are approximately 100 % at 3 hours, 83-90 % at 5 hours, 75 % at 8 hours, and 50-70 % at 10 hours. The salvage rates decrease to 10 to 20 % when the testicle remains torsed for more than 10 hours. After 24 hours, salvage of a testicle is rare unless there has been intermittent detorsion.
- Sonographic findings can be variable depending on the duration of torsion and extent of vascular compromise. The testicle can appear enlarged and hypoechoic and the parenchyma of the testicle will become less homogenous when compared with the unaffected testicle. (Video 5) In advanced cases, testicle can look hyperechoic with areas of necrosis.
Video 5. Transverse scan of both testicles showing normal right testicle and left testicular torsion. Note the hypoechogenicity of the right testicle.
- Other sonographic findings include: Twisted spermatic cord (Whirlpool sign), reactive hydrocele, and thickening of the scrotal wall.
- Sonographic findings may be subtle early in the course.
- Color Doppler or power Doppler may be helpful to identify flow patterns in the acutely tender testicle. (Figure 5) When blood flow is absent in the affected testicle, the diagnosis of testicular torsion is clear. Occasionally decreased blood flow seen in early torsion can be erroneously diagnosed as normal. Thus, comparison to the contralateral side is crucial.

Figure 5. Transverse plane through both testes. The power Doppler image of the scrotum demonstrates right testicular perfusion. The swollen left testicle is not perfused. (Image courtesy of Michael Blaivas, MD)
- Color Doppler alone will not assure both venous and arterial flow in the testicle. Spectral Doppler tracings should also be obtained to confirm both arterial and venous flow. The absence of a venous pattern by spectral Doppler on the affected side suggests early torsion. If the diagnosis is in doubt due to torsion-detorsion, repeat color Doppler imaging along with spectral examination in one hour is recommended.5-7
Epididymitis
- The most common cause of acute scrotal pain in postpubertal males.
- Retrograde spread of infection from the bladder or prostate is usually the underlying etiology.
- Head of the epididymis is most commonly involved.
- Gray-scale findings of acute epididymits include an enlarged epididymis with decreased echogenicity. Often, a reactive hydrocele is noted as well. (Videos 6 and 7)
Video 6. Head of the epididymis with epididymitis
Video 7. Tail of the epididymis with epididymitis
- A chronically inflamed epididymis becomes thickened and has focal echogenicity with areas of calcification.
- With Doppler sonography, increased blood flow secondary to epididymal inflammation is noted. The presence of normal or increased blood flow in the affected testicle when compared to the contralateral side differentiates epididymitis from testicular torsion.5-7
- In patients with unresolving epididymitis, consider chronic epididymitis, orchitis, scrotal or testicular abscess, and testicular infarction.
Orchitis
- Acute infection of the testicle usually following epididymitis.
- On gray-scale ultrasound, orchitis is seen as an enlarged testicle with heterogeneous echogenicity. However, these findings are nonspecific and can be seen in many other conditions such as tumors, metastasis, infarct and torsion.
- Other sonographic findings include reactive hydrocele and scrotal skin thickening.
- Standard B-mode is not a reliable method to differentiate between orchitis and testicular torsion. For both orchitis and torsion, inflammation and edema can lead to enlargement and heterogeneous echogenicity of the testis. Color Doppler is helpful to differentiate between orchitis and torsion since blood flow in orchitis is increased in comparison with the unaffected side due to inflammation. 5-7 (Figure 6)

Figure 6. Orchitis. Marked increase in blood flow is seen along with a reactive hydrocele. (Courtesy of Michael Blaivas, MD)
Scrotal Trauma
- Injuries to scrotum include laceration, hemorrhage, or contusion of the testicle.
- Blood flow to the testicle should also be evaluated since trauma could lead to testicular torsion.
- Any abnormalities visualized within the testis in the setting of scrotal trauma should be considered as testicular rupture.
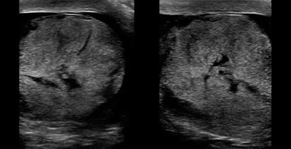
- Sonographic findings suggestive of testicular injury include irregular outline and a non-homogeneous echotexture from hemorrhage or infarction. (Figure 7)

Figure 7. Testicular Fracture. Note the heterogeneity of the testicular echotexture and fracture line.
- Discontinuity of the echogenic tunica albuginea suggests testicular rupture. A discrete fracture line is seen by ultrasound in only 17% of ruptures.
- A significant hematocele is an indirect finding for possible testicular rupture.
- Hemorrhage within the testicle changes its appearance depending on the age of the hemorrhage.
- Acute hemorrhage will appear with loss of normal homogenous echotexture, and will later develop large anechoic regions within it.3,5-7
- Doppler assessment should be performed to determine the integrity of vasculature and viability of the testes.
V. Pearls and Pitfalls
- Use the mediastinum testis as a point of reference when demonstrating intra-testicular flow. Note, that if mediastinum testis is imaged at an oblique angle, it can be mistaken for a mass.
- Color Doppler cannot differentiate malignant hypervascularity from inflammatory hypervascularity.
- In approximately 20% of patients with epididymitis, the gray-scale appearance of the epididymis is completely normal.
- In prepubescent boys and neonates, blood flow in testes can be very difficult to detect, which may lead to misdiagnoses.
- The ultrasound findings of incomplete torsion may be subtle and can be very challenging to identify. Careful comparison to the contralateral side is crucial to exclude incomplete or partial torsion. Spectral Doppler is recommended to detect subtle changes in venous and arterial waveforms.
- Post-ischemic hyperemia from paradoxical increase in blood flow after detorsion can be confused with epididymo-orchitis.
- Dilated rete testis (collection of multiple small channels in the region of mediastinum testis) is an anatomical variant and can be mistaken for testicular tumor.
- Striated testes (hypoechoic linear bands radiating perpendicular to the long axis of testes) is from interstitial fibrosis and generally require no further evaluation. The differential diagnosis of striated testes includes neoplasm, infection, infarction, and trauma. Clinical presentation, other sonographic findings and Doppler assessment can help narrow the differential diagnosis and determine the need for further workup.
VI. References
- Blaivas M, Brannam L. Testicular ultrasound. Emerg Med Clin North Am. 2004;22(3):723-748.
- Akin EA, Khati NJ, Hill MC. Ultrasound of the scrotum. Ultrasound Q. 2004;20(4):181-200.
- Adhikari S. Testicular. In: Ma OJ, Mateer J, eds. Emergency Ultrasound. McGraw-Hill: New York, 2013: 353-375.
- Promes S. Miscellaneous applications. In: Simon B, Snoey E, eds. Ultrasound in Emergency and Ambulatory Medicine. Mosby: St. Louis, MO, 1997:250.
- Blaivas M, Sierzenski P, Lambert M. Emergency evaluation of patients presenting with acute scrotum using bedside ultrasonography. Acad Emerg Med. 2001;8(1):90-93.
- Blaivas M, Sierzenski P. Emergency ultrasonography in the evaluation of the acute scrotum. Acad Emerg Med. 2001;8(1):85-89.
- Blaivas M, Batts M, Lambert M. Ultrasonographic diagnosis of testicular torsion by emergency physicians. Am J Emerg Med. 2000;18(2):198-200.
