Advanced

AdvancedSonography-800x495.jpg

Advanced Sonography

Advanced ultrasound can enhance the diagnosis of organ injury, viable tumor, and vascular pathologies at bedside.

Additional content is being developed, so check back often for updates

Ultrasound Guided Advanced Cardiovascular Life Support

Airway Emergencies

EMS Pre-Hospital Ultrasound

ENT

Focused Assessment with Sonography for HIV-Associated Tuberculosis (FASH)

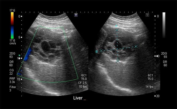
GI - Appendicitis

GI - Bowel Obstruction

GI - Intussusception

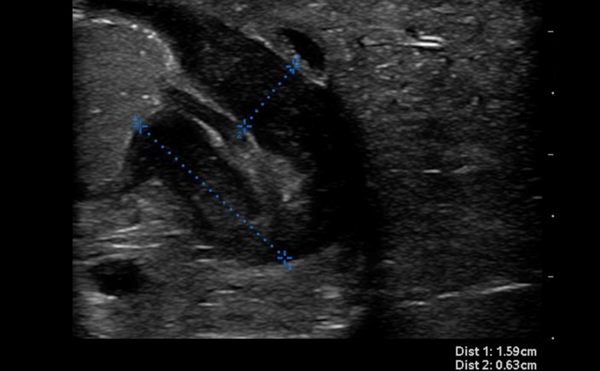
MSK - Pediatric Hip

Ocular Emergencies

Pediatric Pyloric Stenosis

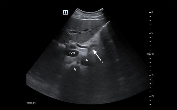
Rapid Ultrasound for Shock and Hypotension (RUSH)

Point-of-Care Ultrasound in Resource-Limited Settings

Small Parts - Testicular Ultrasound