Median Nerve Block
Andrew Butki, DO
Leonard V. Bunting, MD, FACEP
I. Overview/Indications
- Ultrasound guided regional anesthesia performed in the ED by ED physicians is being performed at most academic emergency departments.1
- Nerve blocks of the forearm are safe and provide an effective alternative to sedation and opioid analgesics for pain management in the emergency department with high levels of satisfaction among both patients and physicians.2-4
- Forearm blocks should be considered as an alternative to digital blocks; the duration can be much longer, and it doesn’t require the pain, pressure and distortion of injecting into the finger’s small area.
- There is overlap of the hand’s sensory territory.
- The median nerve provides innervation to the radial/lateral palm but provides exclusive innervation to only a small area of the index and middle fingers.5
- Consider providing blockade of median nerve +/- ulnar nerve +/- radial nerve for most injuries

Illustration 1. Distribution of the median nerve
Indications
- Palmar lacerations, burns, abscesses, foreign bodies, or any soft tissue injury to the hand and wrist
- Forearm nerve blocks in general are not as useful for fractures of the wrist. Generally, the innervation of the bones (osteotomes) follow their own pattern that does not coincide with the innervation of the skin or more superficial structures (dermatomes).7
Contraindications
II. Equipment
- Probe selection: 6-12 MHz linear transducer
- Sterile transparent film dressing (ie, Tegaderm™) or sterile probe cover
- 7-10mL of anesthetic of choice
- 27-gauge needle for skin wheal with syringe of 2-3 ml of lidocaine with epinephrine
- 20-22-gauge needle, 1.5 inch or longer (Needle choices) depending on body habitus
III. Setup and Patient Positioning
- General procedure setup
- Patient sitting upright
- Forearm supine and abducted, externally rotated to your and patients’ comfort.
IV. Pre-scan/Sonographic Anatomy
Anatomy
- The median nerve runs down the center of the forearm.
- It descends in the fascial plane separating the deep and superficial flexor muscles of the hand and wrist (flexor digitorum superficialis and flexor digitorum profundus).8
- The median nerve gives off (very tiny) branches as it courses through the forearm, including the anterior interosseous branch and palmar cutaneous branch.8 It is preferable to block as proximal in the forearm as possible in order to include these branches.

Illustration 2. Course of the median nerve
Pre-scan
- Place the probe transversely on the volar surface of the forearm.
- The median nerve is located in the central volar compartment on a fascial plane below the flexor digitorum superficialis.
- If the nerve is not apparent, try fanning or tilting the probe to compensate for anisotropy.
- Alternatively, the nerve can be traced from another site.
- From proximal: the median nerve can be identified adjacent to the brachial artery at the elbow and traced back to mid-forearm.
- From distal: the median nerve is housed within the carpal tunnel with several tendons. Tracing the carpal contents to the mid-forearm will highlight the median nerve as it persists, and the tendons become muscles.
Video 1. Median nerve pre-scan

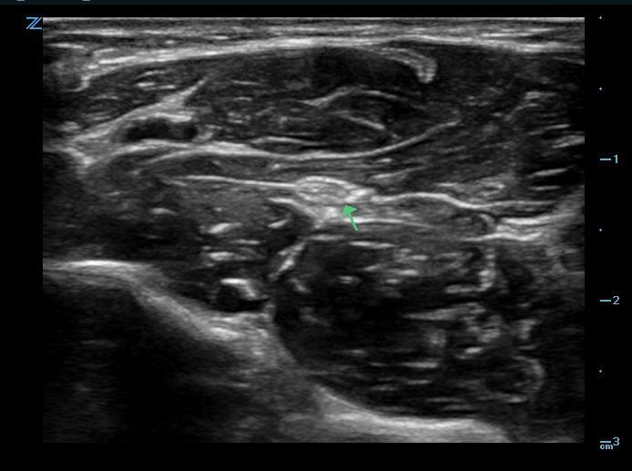
Figure 1. Median nerve in the mid-forearm

Figure 2. Hand position for in-plane block
V. Procedure Technique
- Use standard sterile skin preparation.
- Cover probe using sterile transparent film dressing (ie, Tegaderm™) or sterile probe cover.
- In-plane approach is recommended (Needle orientation).
- Flush all needles of air, as air obscures ultrasound imaging.
- Create skin wheal using 25-30 g needle.
- Insert your block needle 5 mm at the short side of the probe with bevel pointing upwards. (Visualizing the needle)
- Ensure your needle path avoids arterial puncture.
- Aim for bottom of nerve.
- This helps avoid injuring nerve.
- Injected fluid will naturally push superficially, following a path of least resistance.
- Advance until you achieve “mechanical coupling,” where the blunt portion of your needle is in direct contact with the median nerve and movement of the needle causes movement of the nerve.
- Inject a test of 0.5 mL of anesthetic to confirm location.
- Follow general injection precautions.
- If the needle is in the perineural space, anesthetic will envelop the nerve and seem to push the nerve away from the needle.
- If you are not close enough, your anesthetic will create a bolus of anesthetic directed away from the nerve.
- Once appropriate placement is confirmed, inject the remainder of the anesthetic until you have enveloped the nerve on at least 3 sides (preferably all sides)
- Typical volumes are 5-10 ml.
Video 2. In-plane median nerve block
VI. Post-procedure Care
Consider marking on skin with skin pen the time and date of block performed.
VII. Pearls and Pitfalls
- Inadequate anesthesia may result from blockade of the median nerve alone. Consider blocking two or all three forearm nerves, as there is a lot of overlap in the regions covered by each nerve.
- All nerves display anisotropy (ie, the nerve is significantly more visible when your probe is perfectly perpendicular to the nerve). Fanning your probe as you scan up and down the forearm can improve visualization of the median nerve
- Too short or too thin a needle will make needle progression difficult, especially in a patient with very large or muscular forearms.
- The most painful part of the procedure is the initial skin puncture, which is why a small local anesthetic skin wheal is recommended.
- The majority of the needle path is through the flexor digitorum superficialis musculature, which is usually well tolerated by patients (skeletal muscle fibers themselves do not receive direct innervation by free Type C nerve endings).8
- More advanced users can consider performing the block with thinner needles (eg, 25 gauge).
- Usually 5-7 mL of anesthetic is required, and so systemic toxicity is unlikely. However, if multiple blocks are performed (median, ulnar, and radial nerve) with larger volumes it is possible to approach or even cross the threshold for toxicity.
VIII. References
- Richard A, Jeffrey K, Arun N, Srikar A. Ultrasound-guided nerve blocks in emergency medicine practice. J Ultrasound Med. 2016;35(4):731-6.
- Nejati A, Teymourian H, Behrooz L, Mohseni G. Pain management via ultrasound-guided nerve block in emergency department; a case series study. Emerg (Tehran). 2017: 5(1):e12.
- Bhoi S, Rodha M, Ramchandani R, Sinha T, Bhasin A, Galwankar S. Feasibility and safety of ultrasound-guided nerve block for management of limb injuries by emergency care physicians. J Emerg Trauma Shock. 2012;5(1):28-32.
- Liebmann O, Price D, Mills C, Gardner R, Wang R, Wilson S, et al. Feasibility of forearm ultrasonography-guided nerve blocks of the radial, ulnar, and median nerves for hand procedures in the emergency department. Ann Emerg Med. 2006;48:558-62.
- Mackinnon S, Fox I, et al. Peripheral nerve surgery: A resource for surgeons. Washington University School of Medicine, 2010.
- Frenkel O, Herring AA, Fischer J, Carnell J, Nagdev A. Supracondylar radial nerve block for treatment of distal radius fractures in the emergency department. J Emerg Med. 2011;41(4):386-8.
- Carrera A, Lopez A, Sala-Blanch X, et al. Functional Regional Anesthesia Anatomy. New York School of Regional Anesthesia.
- Moore K, Dalley, A. Clinically Oriented Anatomy, 5th Lippincott Williams and Wilkins, 2006.
