October 4, 2023

COPD Exacerbation

Sarah Kennedy, MD, FACEP

Brief narrative description of case 
Include the presenting patient chief complaint and overall learner goals for this case

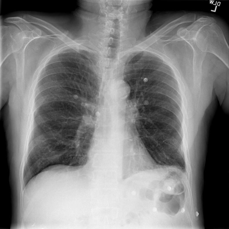
CC: Shortness of breath, cough
This is a 55-year-old female with a history of CHF and COPD who presents with cough and shortness of breath for 3 days. She is found to have a COPD exacerbation. Her bedside ultrasound shows normal cardiac function and no pulmonary edema, so she is treated with nebs and steroids. Learners should be able to distinguish between a CHF exacerbation and COPD exacerbation using ultrasound and manage the COPD exacerbation effectively.

Download PDF

COPD CXR - hyperinflated only.jpg

[ Feedback → ]