September 20, 2024
Small Bowel Obstruction
Authors: Kristen Caine, Amanda Dalpiaz, Philip Giarrusso, Mathew Nelson, Tiffany Moadel
Brief narrative description of case
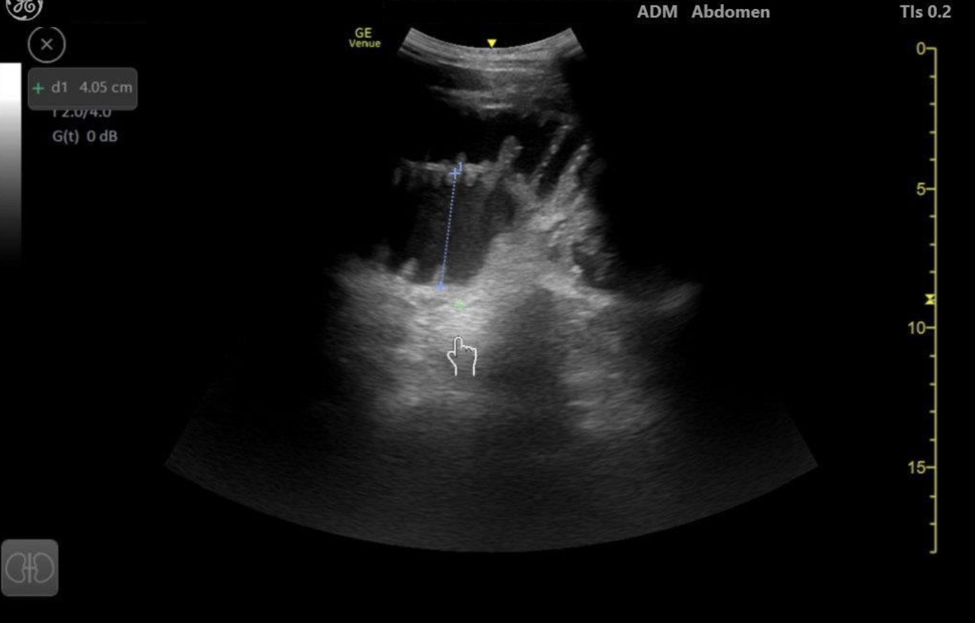
75 year old male with PMH of HTN, HLD presenting with concern of right sided abdominal pain for 3 days, progressively worsening. He appears uncomfortable and is tachycardic on arrival. The goals for this case are to recognize the differential diagnosis and the role of using bedside POCUS to diagnose and expedite care.
