October 4, 2023
Cardiac Tamponade
Rabbia Saeed, MD and Tiffany C. Fong, MD, FACEP
Brief Description of Case
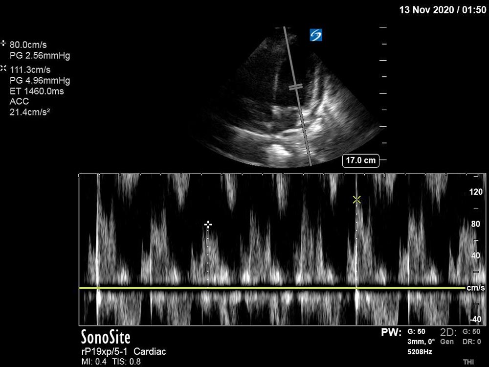
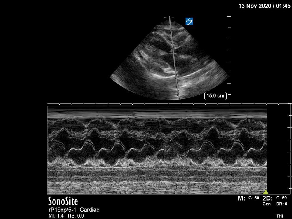
An elderly patient with multiple co-morbidities presents to the ED with dyspnea and is found to be in obstructive shock secondary to cardiac tamponade. The learner should perform a primary survey, recognize the need for emergent intervention, and rapidly obtain key diagnostic data, including performance of a bedside ultrasound. Upon recognizing that the patient has cardiac tamponade, appropriate management should be initiated, including resuscitation and emergent pericardiocentesis.



