October 4, 2023

Appendicitis

Arthur Au, MD

Brief narrative description of case 
Include the presenting patient chief complaint and overall learner goals for this case

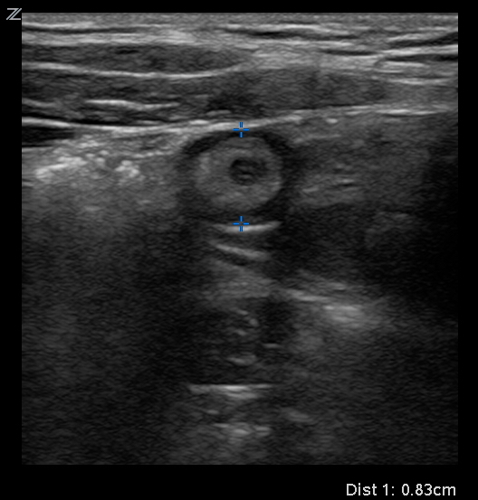
24yo F G2P1011 with hx of kidney stones presents complaining of right sided abdominal pain. The goals for this case are to recognize potential causes of right sided abdominal pain and the utility of using bedside US to narrow your differential and ultimately obtain your diagnosis.

Download PDF

appy measurement.jpg

CT of ruptured appy.jpg

[ Feedback → ]