October 16, 2024
•
Emergency Ultrasound Section
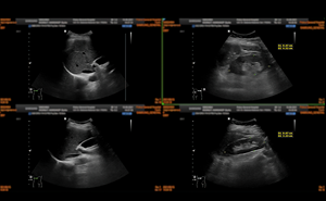
Acute Mitral Regurgitation in the Emergency Department
A 56-year-old female with history of hyperlipidemia, mild mitral regurgitation, and type 2 diabetes presents to the emergency department for 5 days of diffuse chest pain with dyspnea, lower extremity ...