Case Report: Intrathoracic Liver Herniation in Collegiate Football Player
Key Words
foramen of Morgagni hernia, diaphragmatic hernia, congenital hernia, liver herniation, Bochdalek hernia
Abstract
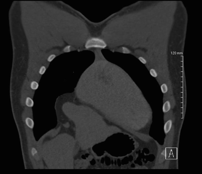
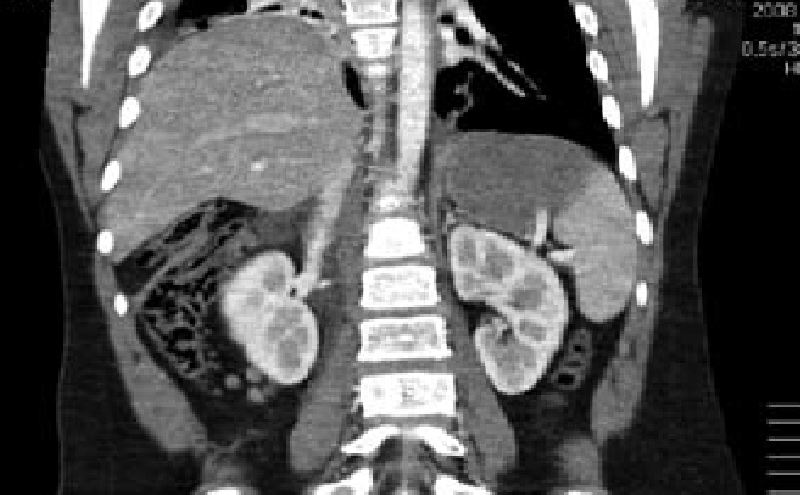
We report a case of a collegiate American style football player presenting to the emergency department with four months of intermittent, non-exertional, midsternal chest pain and pressure. Workup included a computed tomography scan that revealed intrathoracic herniation of the left lobe of the liver through a large Foramen of Morgagni hernia over the right aspect of the heart. Data to guide management is sparse but favors surgical intervention. The patient pursued non-operative management and successfully returned to play to complete a full season of NCAA football as a starting defensive end without complication. This case refutes the common practice of immediate surgical intervention in patients with Morgagni hernias.
Images


Introduction:
Congenital diaphragmatic hernias are a rare but important cause of respiratory and or chest symptoms. The available literature on management is limited but supports operative intervention as the primary therapeutic modality, however, we report a case of successful non- operative management with return to play.
Case Report
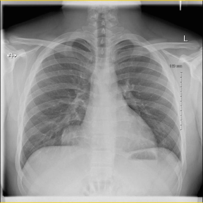
A 19 year old previously healthy male, NCAA defensive end, presents with four months of intermittent, non-exertional, midsternal chest pain and pressure. The pain is described as an episodic band like pressure radiating across the epigastrium. At maximum the pain is rated four out of ten and is completely relieved with holding a deep inspiration. There are no other mitigating or exacerbating factors. There are no other associated symptoms. This has never happened previously. Initial workup in the emergency department with chest radiograph revealed a right cardiophrenic angle mass. Electrocardiogram, complete blood count, comprehensive metabolic panel, lipase and troponin were within normal limits. Computed tomography scan revealed intrathoracic herniation of the left lobe of the liver through a large Foramen of Morgagni hernia over the right aspect of the heart. The patient obtained cardiothoracic surgery consultation and opted to forego surgical intervention while symptoms remained mild to moderate. The patient successfully returned to play and completed a full season as an NCAA defensive end without complication. The patient has another year of eligibility and plans to complete his collegiate career without surgery if symptoms remain stable.
Discussion:
A Morgagni hernia is a congenital diaphragmatic defect found in the anteromedial aspect of this muscle. The other and more common form of congenital diaphragmatic hernia is the Bochdalek hernia, which is posterolateral. The incidence of congenital diaphragmatic hernias has not been well studied, but based upon retrospective computed tomography data and autopsy data, the incidence is thought to be between 0.17% [Mullins 2001] and 6% [Salacin 1994]. Morgagni hernias comprise approximately 3%-6% of all congenital diaphragmatic hernias [Harrington 1951] [Durak 2007]. Morgagni hernias may occur on either side, however, 91% are found in the right hemidiaphragm as it is hypothesized that embryologic pericardial attachments provide additional support to the left hemidiaphragm [Horton 2008].
Morgagni hernias remain a rare but important cause of chest pain and dyspnea in the athlete. Due to the relatively infrequent presentation of this disease process, there are no robust studies to describe the most appropriate treatment modalities. Management is based upon case reports and is most heavily influenced by the pediatric literature, which strongly favors prompt surgical intervention as neonates often present with life threatening symptoms [Al- Salem 2014]. The role of operative management in the mildly symptomatic adult is of debate [Horton 2008]. Surgery carries not insignificant risk as evidenced by one retrospective case review of 18 adults, surgical repair of diaphragmatic hernias carried a complication rate of 19% and a mortality rate of 4.5% [Palanivelu 2009].
When a surgical approach is pursued, both open and laparoscopic repairs have high success rates, with or without mesh placement [Schumacher 2009], [Marhuenda C 2009]. Laparoscopic intervention has fewer complications and shorter recovery period [Horton 2008], [Brown 2011]. There is no identifiable difference between repair with or without mesh placement nor with removal of hernia sac [Horton 2008]. We report a case of a collegiate athlete who opted for non-operative management with successful return to play without complications. This strategy challenges the poorly evidenced practice of prompt surgical intervention in the athlete that presents with mild to moderate symptoms, who has similar radiographic findings and herniation limited to the left lobe of the liver.
References:
- Mullins ME, Stein J, Saini SS, Mueller PR. Prevalence of incidental Bochdalek’s hernia in a large adult population. Am J Roentgenol. 2001;177:363-366.
- Horton JD, Hofmann LJ, Hetz SP. Presentation and management of Morgagni hernias in adults: a review of 298 cases. Surg Endosc. 2008;22(6):1413-20.
- Al-Salem AH, Zamakhshary M, Al Mohaidly M, Al-Qahtani A, Abdulla MR, Naga MI. Congenital Morgagni hernia: a national multicenter study. J Pediatr Surg. 2014;49(4):503-7.
- Brown SR, Horton JD, Trivette E, Hofmann LJ, Johnson JM. Bochdalek hernia in the adult: demographics, presentation, and surgical management. Hernia. 2011;15(1):23-30.
- Durak E, Gur S, Cokmez A, Atahan K, Zahtz E, Tarcan E. Laparoscopic repair of Morgagni hernia. Hernia. 2007;11(3):256-70.
- Harrington SW. Clinical manifestations and surgical treatment of congenital types of diaphragmatic hernia. Rev Gastroenterol. 1951;18:243-56.
- Salacin S, Alper B, Cekin N. Bochdalek hernia in adulthood: a review and an autopsy case report. J Forensic Sci. 1994;39(4):1112-6.
- Schumacher L, Gilbert S. Congenital diaphragmatic hernia in the adult. Thorac Surg Clin. 2009 Nov;19(4):469-72.
- Palanivelu C, Rangarajan M, Rajapandian S, Amar V, Parthasarathi R. Laparoscopic repair of adult diaphragmatic hernias and eventration with primary sutured closure and prosthetic reinforcement: a retrospective study. Surg Endosc. 2009;23(5):978-85.
- Marhuenda A, Guillén G, Sánchez B, Urbistondo A, Barceló C. Endoscopic repair of late-presenting Morgagni and Bochdalek hernia in children: case report and review of the literature. J Laparoendosc Adv Surg Tech A. 2009;S95-101.
Jeremiah W. Ray, MD, FACEP
Sports Medicine Fellow
Stanford University Hospitals & Clinics