The Jammed Finger
Eric Power, MD, PGY3
John Sullivan, MD, PGY2, Northwestern University Feinberg School of Medicine, Department of Emergency Medicine
Justine Ko, MD, Instructor in Clinical Emergency Medicine, Weill Cornell Medical College, Department of Emergency Medicine
Case
You are working at a busy community emergency department when you see a 22-year-old male with a finger injury pop up on the track board. He reports that he was playing basketball when he “jammed” his finger while trying to catch the ball. There was immediate pain in his finger, which has persisted, as well as swelling and limited range of motion.
ED Workup
On exam, you immediately notice a deformity of the fourth digit of his left hand. The finger is fixed in hyperextension at the proximal interphalangeal (PIP) joint. He has tenderness to palpation over the PIP joint and pain with passive range of motion (ROM). He is unable to actively range the joint. He has no pain with passive or active ROM of the metacarpophalangeal (MCP) joint, and there is no bony tenderness over the carpal bones or other digits.
You order an x-ray of the affected digit, which is shown further below.
Differential Diagnosis:
- Phalanx fracture
- Oblique/intra-articular fracture
- Avulsion fracture
- PIP joint dislocation
- Collateral ligament strain
- Volar plate injury
- Tendon injury
- Contusion

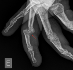
Image 1: Lateral X-ray of the left fourth digit demonstrating a dorsal dislocation at the PIP joint. Case courtesy of Leonardo Lustosa, Radiopaedia.org, rID: 99559

Image 2: Magnification of the X-ray above demonstrates an avulsion fracture of the base of the phalanx, indicating a volar plate avulsion fracture. Case courtesy of Leonardo Lustosa, Radiopaedia.org, rID: 99559
Review of Finger Anatomy
Each digit has three joints: the metacarpophalangeal (MCP), proximal interphalangeal (PIP), and distal interphalangeal (DIP). The main function of these joints is to support flexion and extension of the fingers to allow for hand grasping, reaching, and pointing.1
The DIP and PIP are hinge joints supported by several tendons and ligaments. Both joints are supported by collateral ligaments, which resist ulnar and radial deviation, and a volar plate which resists hyperextension (Figure 1). The joints are also supported by flexor tendons volar and extensor tendons dorsally.1

Figure 1: Anatomy of the Proximal Interphalangeal Joint (created by authors)
Clinical Considerations
Finger dislocations are common in contact sports, with PIP dislocations being one of the most common dislocations associated with sports injuries.2 Dislocations of the DIP and PIP joints can be in the dorsal, volar, and lateral directions, with dorsal dislocations being the most common.
Volar plate injuries, including avulsion or oblique fractures into the PIP joint, are commonly seen with dorsal PIP dislocations. This injury warrants careful consideration in any patient with a history of a hyperextension mechanism injury to any digit. This will often be reported as having a “jammed” finger when playing contact sports or attempting to catch/corral a ball.3 Volar plate fractures involving greater than 30% of the articular surface may no longer be stable and may require surgical fixation. These warrant timely follow-up with hand surgery.3,4 If left untreated, dorsal dislocations and volar plate injuries can result in a persistent swan neck deformity. Irreducible dorsal dislocations, while rare, should prompt concern for an interposed volar plate. These require prompt orthopedic consultation for open reduction.5 Central slip extensor tendon injuries can be seen with volar PIP dislocations and can result in a Boutonniere deformity if missed or left untreated.4
ED Management
Dislocations of the PIP joint require reduction. A digital block can be considered for pain control.
The technique for reduction of a dorsal PIP dislocation involves (Figure 2):
- Grabbing the affected finger with both hands, one on the proximal phalanx and one on the middle phalanx (proximal and distal to the injury)
- Apply traction and extend with the hand holding the middle phalanx
- Then flex at the PIP joint with the hand holding the middle phalanx to complete the reduction
- Repeat if unsuccessful

Figure 2: PIP Joint reduction (created by authors)
After successful reduction, the affected digit should then be splinted in 30 degrees of flexion.4 The patient should be given a referral to follow up with hand surgery.
In contrast to dorsal dislocations, volar dislocation reductions involve hyperflexion and then traction and extension. They should be splinted in full extension at the PIP joint only (DIP and MCP joint with allowed full ROM) after successful reduction to avoid developing a Boutonniere deformity.6
Key Points
- Finger injuries, including fractures and/or dislocations, are a common complaint in the emergency department and sports medicine clinics.
- X-rays, with multiple views, are important to assess for associated fractures with any dislocation injury.
- Key steps for emergency department management of these injuries include reduction, splinting, and referral to an orthopedic or hand surgeon.
- Dorsal dislocations should be splinted in 30º of flexion if volar plate injury is suspected and volar dislocations should be splinted in full extension at the PIP joint as many are associated with central slip injuries.
References
- McDevitt J, Griffin M, Doyle D. Volar plate injuries of the proximal interphalangeal joint. J Nurse Pract. 2021;17(4):418-424. https://doi.org/10.1016/j.nurpra.2020.11.021.
- Pursley R, Collins A. Finger Dislocation. In: StatPearls. StatPearls Publishing; 2022. Accessed July 27, 2022. http://www.ncbi.nlm.nih.gov/books/NBK551508/
- Blazar PE, Steinberg DR. Fractures of the proximal interphalangeal joint. J Am Acad Orthop Surg. 2000;8(6):383-390.
- Gianakos A, Yingling J, Athens CM, et al. Treatment for acute proximal interphalangeal joint fractures and fracture-dislocations: a systematic review of the literature. J Hand Microsurg. 2020;12(Suppl 1):S9-S15. doi:10.1055/s-0040-1713323
- Frueh FS, Vogel P, Honigmann P. Irreducible dislocations of the proximal interphalangeal joint: algorithm for open reduction and soft-tissue repair. Plast Reconstr Surg Glob Open. 2018;6(5):e1729. doi:10.1097/GOX.0000000000001729
- Rubin G. Sideline management of PIP dislocation. The Sports Medicine Review. 2021. Accessed digitally on 6/29/2022. https://www.sportsmedreview.com/blog/sideline-management-of-pip-dislocation/