Pediatrics

When The Bowel Folds Inside Itself

Intussusception is the most common cause of intestinal obstruction in children and is the most common abdominal emergency in early childhood.

Button Battery Ingestions: Small Object, Big Danger

Epistaxis in the Pediatric Emergency Department

Section Updates

Drowning is the Single Leading Cause of Death Among Children Aged 1-4 Years and a Top Cause of Death Among Teens

EMage Contest

1st Place Emage Winner: Common Looking Viral Rash Caused by an Infection Not Typical in the Northeast USA

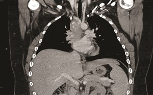
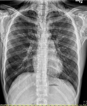
2nd Place Emage Winner: Fibrosing Mediastinitis

3rd Place Emage Winner: A Subtle Presentation of Purpura Fulminans

Pediatric heat stroke: The danger of children left in hot cars

Why Create a Pediatric Emergency Department Vaccination Toolkit

Formation of the ACEP Working Group on ED Pediatric Vaccinations

PEM Vaccination Toolkit Introduction

Speakers

Member Profile

Taking Aim at Preventing Firearm-Related Injuries: The Role of Emergency Medicine Physicians

Measles: Cough, Coryza, Conjunctivitis...Crud!

1st Place Emage Winner: A Morel-Lava WHAT!?!

2nd Place Emage Winner: Head Scratcher

3rd Place Emage Winner: A Case of Neck Pain

Immunize

Identify

Inform

Our Team

Current Literature

Incentives

Logging Tools

Cool Contributions

Example Curricula

PEM POCUS Curriculum Toolbox

Misconceptions Regarding Hemolytic Uremic Syndrome

Pulmonary Hypertension in the Pediatric Emergency Department

How can Emergency Physicians Optimize Transition of Care for Youth with Congenital Heart Disease?

ACEP Pediatric Emergency Department Vaccination Toolkit

Claim Your CME

Expert Theaters Supported by Grifols (non-CME)

Brain Abscess: A Rare Intracranial Infection in Children

Amato Profile

Auerbach Profile

Avner Profile

Baker Profile

Calleo Profile

Cantor Profile

Claudius Profile

Fox Profile

Gausche-Hill Profile

Homme Profile

Horeczko Profile

Kane Profile

Kummer Profile

Lawson Profile

Lu Profile

MacNeill Profile

Rose Profile

Sacchetti Profile

Saidinejad Profile

Shook Profile

Wall Profile

Leff Profile

Wallin Profile

Ask the Expert-Management of the Well-Appearing Febrile Young Infant: Integrating the AAP Guideline into Practice

Alade Profile

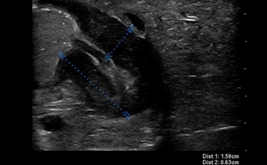
Lymphatic Malformation: A Rare Cause of Pediatric Abdominal Pain

1st Place Emage Winner: Fragile Skin, Be Careful: Acute Management of Epidermolysis Bullosa

2nd Place Emage Winner: Cardiomyopathy

3rd Place Emage Winner: 3 AM Not Another Teenager Transferred for Persistent Vomiting: Not What You Expected

The Pediatric Tripledemic: How to Survive

Video: Managing RSV & Bronchiolitis

Simulation Case Library

It’s Not Just the Sniffles: Approach to Diagnosis and Management of Sinusitis in the Pediatric Population

Management of the Well-Appearing Febrile Young Infant: Integrating the AAP Guideline into Practice

Webinars

2021 3rd Place Emage Winner: Painful Legs

2021 2nd Place Emage Winner: Scurvy

2021 1st Place Emage Winner: Abdominal Distention: Prepare for the Worst

EMage Winners

Cutting Edge PEM

Education Articles

Pediatric Emergency Medicine Resources

Pediatric Emergency Medicine Newsroom

Weird Baby Stuff: Managing Brief Resolved Unexplained Events

Managing Childbirth and Newborn Resuscitation Toolkit for the EMS Provider

Join the Interest List

CO Poisoning – Pearls and Management

COVID-19 & Pediatric Patients

Pediatric Emergency Medicine Assembly

PEM Speaker Database

PEDs Discharge Tips

CARE (Current Anticipatory Guidance Recommendations and Education)

Products of Section Grants

PEM Mentorship Program

PedEMMorsels

Case Study of the Month- Chest Pain in a 16-Year-Old

Vomiting, Diarrhea, Dehydration Treatment in the Pediatric ED at Edward Hospital Naperville, Ill.

Oral Rehydration Therapy

Pediatric Oral Rehydration Therapy (ORT)

Diarrhea and Oral Rehydration Therapy

Pediatric Ultrasound

GI - Intussusception

Trouble in the Tasman Sea: Pediatric Diabetic Ketoacidosis (DKA)

Pediatric Disasters

Copyright Assignment Agreement: Submission Guidelines

Low-Dose Ketamine for Pediatric Sickle Cell Pain Crisis

MSK - Pediatric Hip

Pediatric Pyloric Stenosis

ACEP Statement: Role of Pediatric EM in COVID-19

Pediatric Patients

NEAR4KIDS: Defining Tracheal Intubation Safety in Pediatric Critical Care

Pediatric Methadone Ingestion

Playpen Disaster - Pediatric Loperamide and Citalopram Ingestion

Pediatric Ultrasound: Developing a Pediatric Focused Point-of-Care Ultrasound Workshop

Pediatrics

PedEMMorsels

Medical Forms

EMS for Children