PE or PAH: A Clinical Case Demonstrating Importance of Advanced Right Heart Measurements
Elizabeth Morrison, MD
Virginia Commonwealth University
Jordan Tozer, MD
Virginia Commonwealth University
Robert T. Stenberg, MD, FACEP
Cleveland Clinic Akron General
Case Presentation
A mid-30s Hispanic female with history of HIV intermittently on HAART therapy, presented to the ED for progressive shortness of breath associated with bilateral lower extremity edema and right calf pain. She reports a history of an unspecified heart condition, but after immigrating to the US a few years ago had not followed up with a cardiologist due to social reasons.
On arrival, the patient’s vital signs include a temperature of 36.5° C, BP 130/85, HR 112, RR 22, and SpO2 100% on room air. The physical exam revealed a pale, underweight female with tachycardia, tachypnea, increased work of breathing, grade 4 systolic murmur at right lower sternal border, lungs with rales bilaterally, abdominal distension, hepatomegaly, and bilateral lower extremity pitting edema. EKG showed right axis deviation. The patient’s history and presentation were concerning for an acute cardiopulmonary condition, with pulmonary embolism and heart failure being high on the differential. Point of care ultrasound is shown in Video 1.
Background
The point-of-care echo shown above surprised the treating physicians. Notable findings include severe RV dilation, RA enlargement, and a trace effusion. What are some tools to distinguish RV dilation in the setting of acute pulmonary embolism (PE) versus chronic RV dilatation such as in pulmonary hypertension (PAH)? Right ventricular dilation can occur in both, as well as evidence of strain or reduced RV systolic function. Distinguishing the two is a critical point in the diagnostic pathway and subsequent treatment regimen for these disease states. The brief synopsis below will outline the quantitative echocardiographic approach to this problem.
Calculating right ventricular systolic pressure
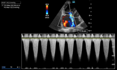
The right ventricular systolic pressure (RVSP) determined by echocardiography can approximate the pulmonary artery systolic pressure (assuming a normal pulmonic valve). Determining this value is predicated on the ability to measure the velocity of the tricuspid regurgitant jet in an apical four chamber view. To obtain this value, the tricuspid regurgitant jet is first identified in an apical four chamber view (A4C) using color doppler. The eccentric jet shown in Figure 1 highlights the importance of first localizing it with color doppler. Then a continuous wave (CW) doppler line is placed through that jet with the focal zone (diamond) in or near the vena contracta (the thinnest part of the jet close to the valve). The resulting wave form should demonstrate repeating downward parabolas. (Figure 1) Increasing the doppler scale, and adjusting the baseline upwards, may be necessary to avoid aliasing for these high velocity cases. The pressure gradient is then extrapolated by using a simplified Bernoulli equation. In the case of this patient, the velocity measures 5.53 m/s, so the pressure gradient (PG) is about 122mmHg (normal would be zero to trace regurgitation). In cases where the diagnosis of PAH is known, comparing the patient’s historic RVSP value to that on presentation, can be helpful.
Simplified Bernoulli Equation
Tricuspid Valve Regurgitant Jet Pressure Gradient (PG) = 4V2
PG = 4 (5.53)2 = 122.3 mmHg
Figure 1. Continuous wave doppler measuring the maximum velocity of the tricuspid regurgitant jet (TR Vmax).
To determine the RVSP, the right atrial pressure (RAP) must then be estimated and added to the PG. This is because the regurgitant jet must first overcome the RAP in order to flow backwards into the right atrium. The RAP can be estimated by observing the IVC size and variation, as shown in Figure 2.

Figure 2. RAP estimates based on IVC diameter and collapsibility.
Finally, the PG can be added to the RAP to determine the estimated RVSP. In this patient, the IVC was 3cm with no variation, so we estimated the RAP to be 20mmHg. Note, sometimes CVP is used in place of RAP as these values are thought to be equal.
RVSP Equation
RVSP = PG + RAP (CVP)
RVSP=122.3+20
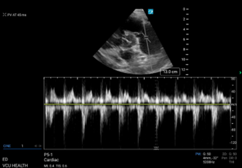
Calculating pulmonary acceleration time
Pulmonary acceleration time (PAT); or pulmonary artery acceleration time (PAAT)) is the time it takes for blood flow into the pulmonic trunk to reach maximum velocity. PAT is shorter when pulmonary arterial resistance is increased. Starting in a parasternal short view, the probe is fanned superiorly to find the RVOT above the aortic valve. The pulsed wave (PW) doppler gate is then placed just proximal to the pulmonic valve and velocity tracing generated. (Figure 3) PAT is the time from the start of flow to the peak, normal values being greater than 60msec. An abnormally short PAT (<60msec) suggests an abnormally increased pulmonary arterial resistance. The patient in this case had a PAT of 45ms, and an abnormal waveform demonstrating a mid-systolic notch. While the distinction can be difficult, an early systolic (ESN) occurs in the first half of systole and is more indicative of PE, while a mid- or late-systolic notch points towards PAH.

Figure 3. PW doppler of RVOT with measurement of PAT.
Evaluating RV Function
Detecting reduced RV function or strain is a key component of the quantitative evaluation. The two methods described here both evaluate the systolic movement of the tricuspid valve annulus at the RV free wall in the A4C view. This movement is considered a surrogate for contractility of the RV. The first method of evaluating RV strain is tissue doppler imaging (TDI). With an A4C view, the TDI doppler gate is placed in the tissue of the lateral tricuspid annulus, then a tracing generated. (Figure 4) The positive deflection, which represents maximum annular velocity, is referred to as s’. If s’ is less than 9.5, there should be concern for RV strain.
Figure 4. TDI of tricuspid annulus for evaluation of RV strain.
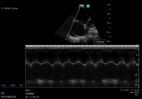
The second method for evaluating RV systolic function measures the distance or excursion, rather than velocity, of the lateral tricuspid annulus movement and is called tricuspid annular plane systolic excursion (TAPSE). To do this, an M-mode spike is placed through the lateral portion of the tricuspid valve in an A4C view, and a tracing is generated. (Figure 5) The TAPSE is measured from peak to trough of the resultant wave. The patient in this case had an abnormally low TAPSE of 11mm (normal values are greater than 17mm). Low TAPSEs have been associated with worse outcomes in the setting of acute PE.
Figure 5. M-mode tracing demonstrating an abnormally low TAPSE measurement.
60/60 sign
The 60/60 sign combines two values that we have already discussed, the tricuspid gradient and the pulmonary acceleration time, to distinguish an acute from chronic process. In the setting of an acute PE, the pulmonary arterial pressure increases, resulting in an increased gradient across the tricuspid valve. This value, while elevated in the setting of an acute PE, should not reach severe range values (over 60mmHg) that require time and RV remodeling. Notably, normal persons will have a TG less than 60mmHg. If a PE is suspected and the TG is less than 60, the PAT should then be evaluated. If it is also less than 60msec, indicating pulmonary outflow resistance, the 60/60 sign is considered positive. Studies have shown this to be a highly specific, though not sensitive, marker of RV strain. The patient in this case had a TG of 122mmHg, so the 60/60 sign would not be applied.
60/60 sign = TG < 60mmHg & PAT < 60msec
Case Resolution
The patient in this case had severely elevated pulmonary pressures, approximately 140mmHg, and severely reduced RV systolic function. A CTA was done by the admitting team which redemonstrated the RV enlargement, but also revealed a dilated pulmonary trunk and lobar pneumonia. The patient was admitted and started on treprostinil and diuresis. She remained in the hospital for approximately one month, where further testing including formal echo and right heart catheterization confirmed our suspicions. She was discharged with a diagnosis of end stage right heart failure secondary to pulmonary hypertension. Unfortunately, this patient has since passed away due to her advanced disease.
Summary
Point-of-care echo continues to be an invaluable tool in evaluating critically ill patients with complaints of chest pain or dyspnea, where the differential can be broad. The advanced right heart measurements reviewed here can be utilized in those cases where RV enlargement and dysfunction is suspected, both to distinguish the acuity and severity of the disease process.

Resources
- Jang AY, Shin MS. Echocardiographic screening methods for pulmonary hypertension: A practical review. J Cardiovasc Imaging. 2020;28(1):1-9. https://doi.org/10.4250/jcvi.2019.0104
- Kanwar MK, Tedford RJ, Thenappan T, De Marco T, Park M, McLaughlin V. Elevated pulmonary pressure noted on Echocardiogram: A simplified approach to next steps. J Am Heart Assoc. 2021;10(7): https://doi.org/10.1161/jaha.120.017684
- Majmundar M, Kansara T, Kumar A, Park H, Shah P, Doshi R, et al. Right ventricular systolic pressure – non-invasive bedside predictor of mortality and readmission in heart failure with reduced and preserved ejection fraction hospitalization. Indian Heart J. 2022;74(4):314–321. https://doi.org/10.1016/j.ihj.2022.03.002
- Parker MW, Gottbrecht MF, Aurigemma GP. Midsystolic Notch and pulmonary hypertension: Pathophysiologic mechanism and technical considerations. J Am Soc Echocardiogr. 2021;34(6):693-5. https://doi.org/10.1016/j.echo.2021.03.017
- Alberta Sono. How to measure RSVP. Saving Lives With Sound. (2021, July 7). https://www.albertasono.ca/echo-2/pulmonary-hypertension/rvsp-how-to/
- Shah BR, Velamakanni SM, Patel A, Khadkikar G, Patel TM, Shah SC. Analysis of the 60/60 sign and other right ventricular parameters by 2D transthoracic echocardiography as adjuncts to diagnosis of acute pulmonary embolism. Cureus. 2021; 13(3):e13800. https://doi.org/10.7759/cureus.13800
- Kurzyna M, Torbicki A, Pruszczyk P, Burakowska B, Fijałkowska A, Kober J, et al. Disturbed right ventricular ejection pattern as a new Doppler echocardiographic sign of acute pulmonary embolism. Am J Cardiol. 2002;90(5):507-11. doi: 10.1016/s0002-9149(02)02523-7. PMID: 12208411.
- Frost A, Badesch D, Gibbs JS, Gopalan D, Khanna D, Manes A, et al. Diagnosis of pulmonary hypertension. Eur Respir J. 2019;53(1):1801904. https://doi.org/10.1183/13993003.01904-2018