Lung Ultrasound in COVID-19
ACEP Ultrasound Sonoguide Subcommittee
For the past three months, there have been almost daily publications and expert opinion pieces on various aspects of COVID-19. One particular feature causing much discussion is bedside point-of-care ultrasound (POCUS) and its use in the COVID-19 population. There have been varying perspectives, from POCUS being standard of care, to whether ED practitioners should be performing POCUS on persons under investigation (PUI) at all. Here is a quick highlight of the evidence on POCUS in COVID-19.
First, there does not seem to be a consensus for an imaging protocol. Some providers opt for the Volpicelli 8-point approach, while others are using the BLUE protocol, and one study even discusses a 14-point study for standardization.1 Some even advocate for a “lawnmower” technique that sweeps through the entire lung fields. Whichever protocol suits the needs of the particular provider, the posterior lung fields should likely be included in image acquisition. One small study of patients with COVID-19 undergoing computed tomography imaging found that the right lower lobe was the most sensitive for pathology and that the posterior lung was involved in 67% of cases.2 Another study of 20 patients with COVID-19 undergoing POCUS imaging found that most lung pathology was found primarily in the posterior lung bases.3
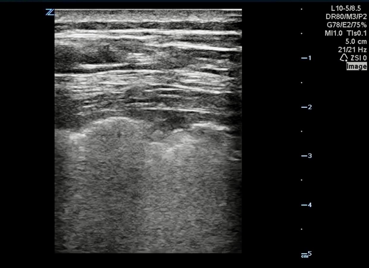
To obtain the best image quality for the assessment of COVID-19 lung pathology, it is recommended that a high frequency linear array probe or a curvilinear probe be used.3-5 The typical lung ultrasound pathology described in patients with COVID-19 are as follows:3,5,6
- Fused B lines and are visible under the pleura. B lines can appear discrete, multifocal, or confluent.
- The involved interstitial tissues have localized thickening and edema, and there is localized pleural effusion around the lesions.
- The pleural line is discontinuous, interrupted, and not smooth.
- Subpleural lesions demonstrate patchy, and nodular consolidation.
- Air bronchogram sign or air bronchiologram sign can be seen in the consolidation.
- Color doppler ultrasound shows insufficient blood supply in the lesions.
- Large pleural effusions are rare.

[Image displaying points 1 and 3]
In addition to lung ultrasound, cardiac ultrasound should also be considered in the PUI population. There have been numerous reports of COVID-19-related myocarditis and myocardial injury.7-11 One study found that in a series of twenty-one critically ill ICU patients with COVID-19, one-third developed cardiomyopathy.12 Furthermore, not all PUIs presenting to the ED with respiratory complaints are linked to COVID-19. Rather, some patients may present with acute heart failure exacerbation, myocardial infarction, valvular disease, pulmonary embolus, or pericardial tamponade. These diagnoses can be missed if the practitioner solely evaluates for lung pathology.
Lastly, risk of cross contamination between PUI exams has made machine disinfection a significant priority. Unfortunately, there is no one-size-fits-all solution. One option for ultrasound machine and transducer disinfection is to use a product approved by the Environmental Protection Agency (EPA) for SARS-CoV2. A full list can be found on the EPA website.
For POCUS cart-based machines, a potential choice would be placing a plastic equipment cover over the machine and having it exchanged between patient exams. In addition, using disposable ultrasound probe covers between exams can be used to avoid contaminating the transducer.
The disinfection of hand-held portable ultrasound machines may be less cumbersome. These machines may be able to fit entirely in a sterile probe cover and closed off to the external environment. After use, the apparatus can be removed and more easily cleaned with an EPA approved disinfectant.
It should be stated that this is a brief synopsis of the current, and limited, literature available on COVID-19. And while some practitioners may be reluctant to utilize POCUS in this specific population, having a basic understanding of image acquisition and pattern recognition could aid the provider should the situation arise.
References
- Soldati G, Smargiassi A, Inchingolo R, et al. Proposal for international standardization of the use of lung ultrasound for patients with COVID-19: A simple, quantitative, reproducible methodv. J Ultrasound Med. 2020 Mar 30;10.1002/jum.15285. doi: 10.1002/jum.15285.
- Soon Ho Y, Kyung Hee L, Jin Yong K, et al. Chest radiographic and CT findings of the 2019 novel Coronavirus Disease (COVID-19): Analysis of nine patients treated in Korea. Korean J Radiol. 2010;Doi.org/10.3348/kjr.2020.0132. [Epub ahead of print]
- Huang Y, Wang S, Liu Y, et al. A preliminary study on the ultrasonic manifestations of peripulmonary lesions of non-critical novel coronavirus pneumonia (COVID-19). Available at SSRN: https://papers.ssrn.com/sol3/papers.cfm?abstract_id=3544750 or http://dx.doi.org/10.2139/ssrn.3544750
- Buonsenso D, Piano A, Raffaelli F, et al. Point-of-care lung ultrasound findings in novel coronavirus disease-19 pnemoniae: a case report and potential applications during COVID-19 outbreak. Eur Rev Med Pharmacol Sci Year. 2020;24:2776-2780. DOI: 10.26355/eurrev_202003_20549
- Soldati G, Smargiassi A, Inchingolo R, et al. Is there a role for lung ultrasound during the COVID‐19 pandemic? J Ultrasound Med. 2020. Accepted Author Manuscript. doi:10.1002/jum.15284
- Peng Q, Wang X, Zhang, L. Findings of lung ultrasonography of novel corona virus pneumonia during the 2019–2020 epidemic. Intensive Care Med. 2020. https://doi.org/10.1007/s00134-020-05996-6
- Zeng JH, Liu Y, Yuan J, et al. First case of COVID-19 infection with fulminant myocarditis complication: case report and insights. Preprints 2020, 2020030180 (doi: 10.20944/preprints202003. 0180.v1).
- Madjid M, Solomon S, Vardeny. ACC Clinical Bulletin: Cardiac Implications of Novel Wuhan Coronavirus (2019-nCoV). Accessed Feb. 13, 2020.
- Guo T, Fan Y, Chen M, et al. Cardiovascular implications of fatal outcomes of patients with coronavirus disease 2019 (COVID-19). JAMA Cardiol. Published online March 27, 2020. doi:10.1001/jamacardio.2020.1017
- Inciardi RM, Lupi L, Zaccone G, et al. Cardiac involvement in a patient with coronavirus disease 2019 (COVID-19). JAMA Cardiol. Published online March 27, 2020. doi:10.1001/jamacardio.2020.1096
- Long B, Brady WJ, Koyfman A, Gottlieb M. Cardiovascular complications in COVID-19 [published online ahead of print, 2020 Apr 18]. Am J Emerg Med. 2020; S0735-6757(20)30277-1.
- Arentz M, Yim E, Klaff L, et al. Characteristics and outcomes of 21 critically ill patients with COVID-19 in Washington state. JAMA. 2020;323(16):1612-1614.
Eric Abrams, MD FACEP
Emergency Ultrasound Co-Fellowship Director at Kaiser-Permanente, San Diego CA
@eabramsMD